Στην Οδοντιατρική Κλινική Dr. Hilda Koleva προσφέρουμε καπλαμάδες υψηλής ποιότητας που βελτιώνουν το χαμόγελό σας, καλύπτοντας ατέλειες όπως αποχρωματισμό, ρωγμές ή κενά. Οι καπλαμάδες είναι ανθεκτική και αισθητικά εντυπωσιακή λύση για πλήρη μεταμόρφωση του χαμόγελου.
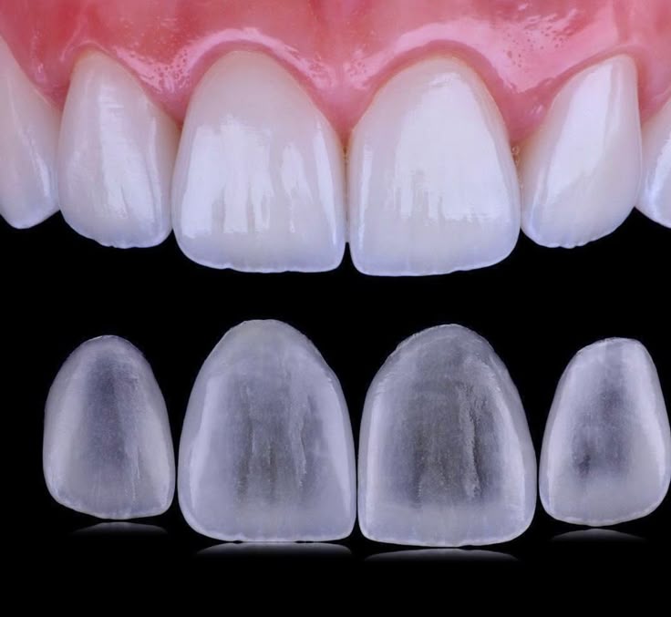
Οι οδοντιατρικοί καπλαμάδες είναι λεπτά, ειδικά κατασκευασμένα κελύφη που τοποθετούνται στην μπροστινή επιφάνεια των δοντιών σας, βελτιώνοντας άμεσα την εμφάνισή τους.
Στην κλινική μας χρησιμοποιούμε προηγμένα υλικά που μιμούνται το φυσικό σμάλτο, προσφέροντας ένα άψογο και λαμπερό αποτέλεσμα. Είτε πρόκειται για αποχρωματισμό, ανομοιόμορφα δόντια, μικρές ρωγμές ή κενά, οι καπλαμάδες αποτελούν την ιδανική λύση για να μεταμορφώσετε το χαμόγελό σας.
Η διαδικασία περιλαμβάνει αναλυτική συμβουλευτική για να κατανοήσουμε τους αισθητικούς σας στόχους, ακριβή σχεδιασμό και τοποθέτηση για τέλεια εφαρμογή. Με τη σωστή φροντίδα, οι καπλαμάδες προσφέρουν μακροχρόνια αποτελέσματα και αυξάνουν σημαντικά την αυτοπεποίθησή σας.
- Άψογη Εμφάνιση: Καλύπτει ατέλειες όπως λεκέδες, ρωγμές και κενά για τέλειο χαμόγελο.
- Φυσική Αισθητική: Οι καπλαμάδες σχεδιάζονται ώστε να μιμούνται την υφή και την αίσθηση των φυσικών δοντιών.
- Ανθεκτική Λύση: Παρέχει αποτελέσματα μεγάλης διάρκειας με σωστή φροντίδα και συντήρηση.
- Γρήγορη Μεταμόρφωση: Ορατή βελτίωση στο χαμόγελό σας μέσα σε λίγες επισκέψεις.
Κλείστε σήμερα το ραντεβού σας με την Οδοντιατρική Κλινική Dr. Hilda Koleva και κάντε το πρώτο βήμα προς ένα πιο όμορφο, λαμπερό χαμόγελο!
