Во денталната поликлиника Др. Хилда Колева создаваме персонализирани дентални коронки кои овозможуваат извонредна стабилност, ги заштитуваат оштетените заби и ја подобруваат убавината на вашата насмевка.
Денталните коронки се ефикасно решение за заштита и обнова на заби кои се скршени, распаднати или ослабени. Овие индивидуално изработени капици се поставуваат врз постоечкиот заб, обновувајќи ја неговата форма, цврстина и изглед, истовремено спречувајќи понатамошно оштетување.
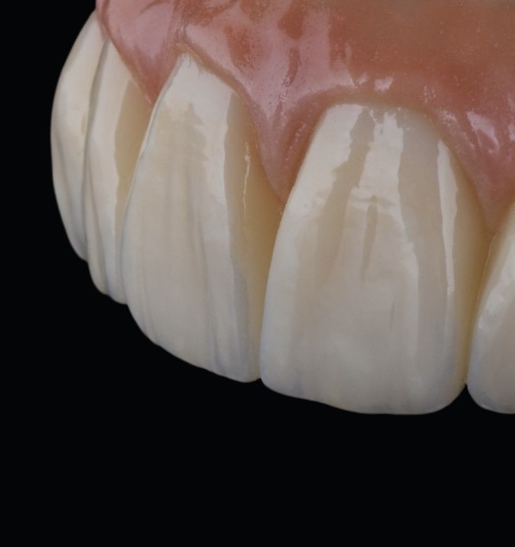
Во денталната поликлиника Др. Хилда Колева, коронките се внимателно дизајнирани за да се совпаѓаат со големината, формата и бојата на вашите природни заби, создавајќи беспрекорен природен изглед. Без разлика дали ви е потребна заштита по коренски третман, замена на голема пломба или подобрување на изгледот на заб, нашите коронки обезбедуваат долготрајни резултати.
Процесот на поставување е удобен и прецизен, бидејќи нашиот тим го приоретизира вашето орално здравје и целокупно задоволство. Со правилна нега, денталните коронки не само што ја обновуваат функционалноста, туку и обезбедуваат години сигурна заштита на вашата насмевка.
- Заштита на забите: ги заштитува оштетените или ослабените заби од понатамошно кршење и распаѓање.
- Природен изглед и чувство: индивидуално изработени коронки кои се совпаѓаат со големината, бојата и формата на вашите природни заби.
- Обновена сила: ја враќа цврстината на забот, овозможувајќи нормално џвакање и говор.
- Разновидна примена: погодни за реставративни и козметички потреби.
Закажете го вашиот термин во стоматолошката поликлиника Др. Хилда Колева денес и направете го првиот чекор кон поздрава и посјајна насмевка!
