Bij Dr. Hilda Koleva Dental Clinic bieden we deskundige tandheelkundige hechtingsdiensten om kleine beschadigingen te herstellen, spleten te sluiten en tanden opnieuw te vormen. Deze betaalbare en minimaal invasieve behandeling helpt u een gepolijste, stralende glimlach te bereiken.
Tandheelkundige hechting is een cosmetische procedure waarbij een tandkleurige hars wordt gebruikt om kleine onvolkomenheden te corrigeren, zoals chips, scheuren, gaten of verkleuring. Deze snelle en kosteneffectieve oplossing kan een groot verschil maken in het algehele uiterlijk van uw glimlach.
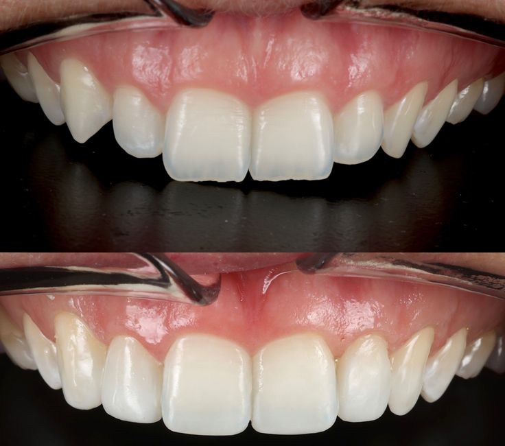
Bij Dr. Hilda Koleva Dental Clinic is ons hechtingsproces ontworpen om het uiterlijk van uw tanden te verbeteren terwijl hun natuurlijke structuur behouden blijft. Nadat we zorgvuldig een tint hebben gekozen die bij uw bestaande tanden past, brengen we het hechtingsmateriaal aan en modelleren het voor een vlekkeloos resultaat.
Met de juiste verzorging is tandhechting een duurzame en effectieve manier om uw glimlach te verbeteren, waardoor het een populaire keuze is voor patiënten die snelle en zichtbare resultaten wensen.
- Snel en effectief: herstelt kleine onvolkomenheden in één afspraak, waardoor u tijd en moeite bespaart.
- Natuurlijke uitstraling: tandkleurige hars past perfect bij uw natuurlijke tanden.
- Betaalbare oplossing: een kosteneffectief alternatief voor uitgebreidere cosmetische behandelingen.
- Minimaal invasief: vereist weinig tot geen verwijdering van natuurlijke tandstructuur.
Boek vandaag nog uw afspraak bij Dr. Hilda Koleva Dental Clinic en zet de eerste stap naar een gezondere, stralendere glimlach!
